Von Daniel Lewis
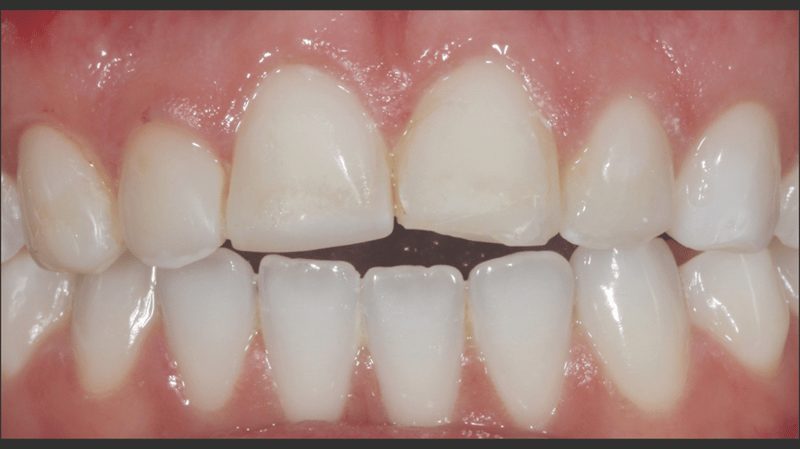
Eine junge Frau in den 20ern stellte sich in der Praxis von Dr. Jaleena Fischer-Jessop, DDS, MBA, vor. Sie hatte Verfärbungen im oberen Frontzahnbereich, welche durch ein Trauma verursacht worden waren und wünschte sich eine Lösung für ein ästhetischeres Lächeln. Die Behandlung der Patientin erfolgte mit einer konservativen und kostengünstigen Lösung: direkte Non-Prep-Veneers. Dr. Fischer-Jessop entschied sich für diese Vorgehensweise, um die Verfärbung abzudecken, die oberen Frontzähne der Patientin an die unteren anzugleichen und invasivere Methoden wie Implantate oder teure, im Labor hergestellte Veneers zu umgehen. Die Farben B1D und Enamel White (EW) wurden zur Aufhellung der Zähne verwendet. Das Transcend™ Komposit (Farbe „Universal Body“, UB) sorgte für einen natürlichen Übergang zwischen den Randbereichen und den zervikalen Bereichen.
Diagnostik und Behandlungsprotokoll (Schritt-für-Schritt)

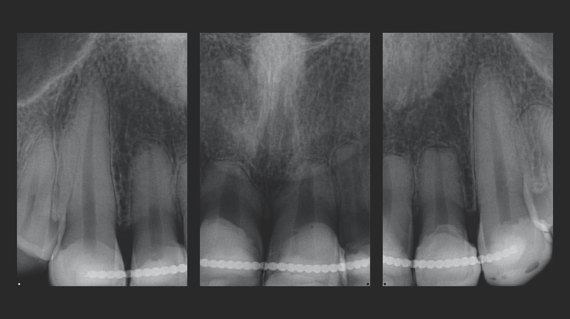
- Hintergrund des Falls: Patientin in den 20ern mit Frontzahntrauma im Oberkiefer. Die Zähne waren trotz Trauma stabil, so dass keine Implantate erforderlich waren.

- Ästhetische und finanzielle Aspekte: Die Patientin war unzufrieden mit dem Erscheinungsbild ihrer Zähne und zudem finanziell eingeschränkt. Vor diesem Hintergrund fiel die Entscheidung auf eine Behandlung mit direkten Non-Prep-Veneers.

- Komposit-Applikation: Applikation von Transcend Komposit (Farbe B1D ), beginnend mit einem 2/3 Abstand von der Inzisalkante. Allmähliche Ausdünnung in Richtung Gingiva. Applikation der Farbe „Universal Body“ (UB) nahe des gingivalen Drittels. Auftragen der finalen Schichten mit Enamel White (EW) und einer kleinen Menge UB am gingivalen Rand, um einen natürlichen Farbverlauf zu erzielen.

- Veneer-Separation: Vorsichtige und präzise Separation der Veneers mit Hilfe eines Skalpells (Nr. 12) und einem Separierstreifen.

- Entfernung der Kompositveneers

- Konturierung der Ränder: Konturierung der Ränder mit einem feinen Mosquito-Diamantbohrer zur gewünschten Form.

- Politur und Präparation für die Zementierung: Konturierung und Politur der Veneers mit dem Jiffy™ Natural Polierkit, in Vorbereitung auf die Zementierung.

- Präparation der Innenfläche: Behandlung der Veneer-Innenfläche mit einem Pulverstrahlgerät. Alternativ kann für diesen Schritt Ultra-Etch™ Ätzgel mit 35% Phosphorsäure verwendet werden.

- Adhäsiv-Applikation: Benetzung der Innenfläche mit Peak™ Universal Bond Adhäsiv.

- Ausdünnung und Lichthärtung des Adhäsivs: Verblasen des Adhäsivs mit einem Luftstrahl zu einer dünnen Schicht. Anschließende Lichthärtung mit der VALO™ X LED-Polymerisationsleuchte (3 Sekunden im Xtra Power Modus).

- Gingivale Sulkuspräparation: Legen eines gestrickten Ultrapak™ Retraktionsfadens (Größe 0) in den gingivalen Sulkus, zwecks Vorbereitung des Ätzvorgangs.

- Ätzen des unpräparierten Schmelzes: Ätzen des unpräparierten Schmelzes mit Hilfe von Ultra-Etch Ätzgel mit 35% Phosphorsäure (30 Sekunden).

- Adhäsiv-Applikation und -Ausdünnung: Applikation von Peak Universal Bond Adhäsiv, verblasen mit einem Luftstrahl zu einer dünnen Schicht und anschließende Absaugung.

- Zementieren: Zementieren der Veneers mit PermaShade™ LC Befestigungskomposit (Farbe Translucent) (in Europa nicht verfügbar).

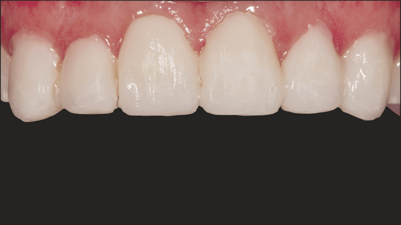
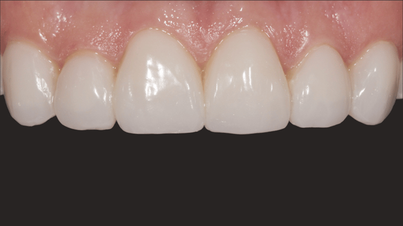
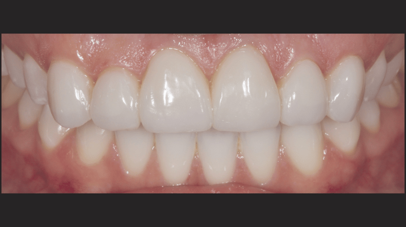
- Finale Restauration: Endgültige Zementierung mit einer stabilen und ästhetisch ansprechenden Veneer-Versorgung.

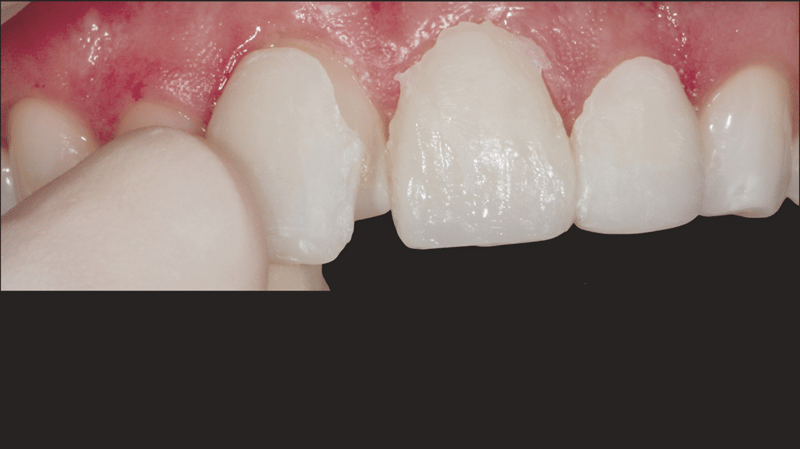
- Faziale Anatomie: Verwendung von kugelförmigen und langen, dünnen Diamantbohrern zur Ausgestaltung der fazialen Anatomie. Erstpolitur mit Jiffy™ Natural Polierern. Hochglanz-Finish zum Erhalt der tertiären Anatomie mit Ultradent™ Diamond Polish Mint und Jiffy™ Goat Hair Brush (in Europa nicht verfügbar).
Ergebnis und Reflexion
Mit dem durchgeführten Behandlungsprotokoll konnten die ästhetischen Anforderungen der Patientin erfüllt werden. Die Verfärbung der oberen Frontzähne wurde kaschiert und ein natürliches, auf die unteren Frontzähne abgestimmtes, Erscheinungsbild wurde erzielt. Die Verwendung von direkten Non-Prep-Kompositveneers war dabei eine konservative, höchst effektive Lösung, die sowohl den finanziellen Möglichkeiten der Patientin als auch ihrem Wunsch nach minimal-invasiven Methoden Rechnung trug.
Über Dr. Fischer-Jessop

Dr. Jaleena Fischer-Jessop, DDS, MBA, schloss ihr Studium der Oralchirurgie im Jahr 2002 an der Loma Linda University School of Dentistry mit Auszeichnung ab. Anschließend absolvierte sie eine zweijährige Zertifizierung bei der American Orthodontics Society. Dr. Fischer-Jessop war zwei Jahre lang Vorstandsmitglied der Utah Dental Association. Derzeit ist sie Mitglied des National Advisory Board und seit 2014 Lehrbeauftragte an der University of Utah Dental School. In einem weiteren Studium erwarb sie 2023 ihren Master of Business Administration (MBA) an der Eccles School of Business der University of Utah. Dr. Fischer-Jessop betreibt seit 22 Jahren eine eigene Zahnarztpraxis mit den Schwerpunkten ästhetische und minimal-invasive Zahnheilkunde. Dr. Fischer-Jessop ist seit 31 Jahren mit Neil Jessop verheiratet. Das Ehepaar hat zwei gemeinsame Kinder, Kazia und Cambri Jessop.
