Von Daniel Lewis
Bei der Herstellung direkter Kompositveneers stellt die optimale Anpassung an die natürliche Zahnfarbe häufig eine Herausforderung dar. „Für Restaurationen im Frontzahnbereich werden verschiedene Schichttechniken empfohlen“, so Dr. Rafael Calixto. „Eine vereinfachte Schichttechnik kann mit äußerst zufriedenstellenden Ergebnissen einhergehen. Voraussetzung dafür ist jedoch, dass das Materialverhalten in Bezug auf die Transluzenz sowie die Schichtdicke bekannt sind.“
Der vorliegende Fall von Dr. Calixto zeigt eine hocheffektive Technik für Klasse-II-Restaurationen an den mittleren Schneidezähnen des Oberkiefers mit dem Transcend™ Universalkomposit-System. Die Patientin äußerte Dr. Calixto gegenüber den Wunsch, ihre bestehenden Kompositveneers auszutauschen, um ein ansprechenderes ästhetisches Erscheinungsbild zu erzielen. Das Fallbeispiel veranschaulicht eine vereinfachte Schichttechnik und in diesem Zusammenhang die Wichtigkeit, die Transluzenz des Materials und die Schichtdicke genau zu kennen. „Hinsichtlich der Anzahl der Farben ist Transcend Komposit zunächst ein vereinfachtes System. Dank seiner Farb- und Poliereigenschaften aber, erlaubt das Material eine schnelle und effiziente Schichtung, die zu herausragenden Ergebnissen führt“, erklärt Calixto.

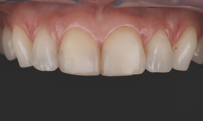
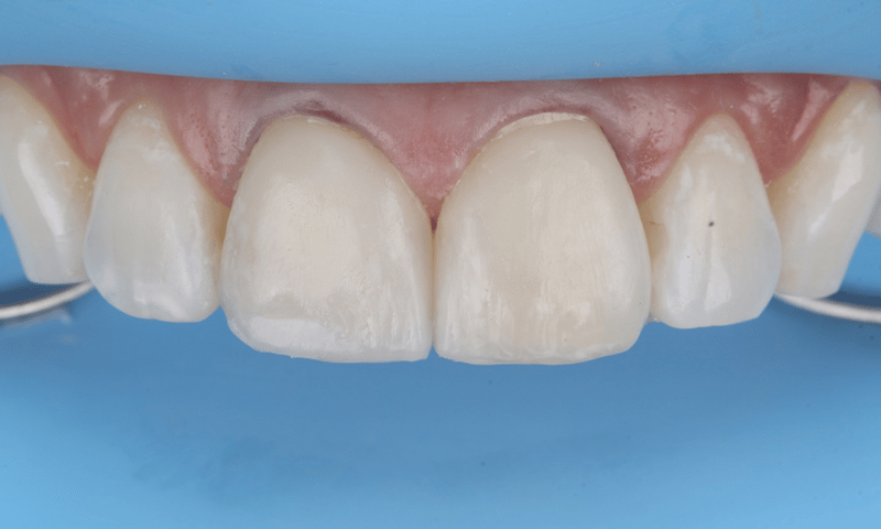
- Ausgangssituation: Die zentralen Schneidezähne weisen sichtbare Verfärbungen und einen Glanzverlust auf. Das Ziel ist der Ersatz der vorhandenen Kompositveneers zur Verbesserung des ästhetischen Erscheinungsbilds der Zähne.

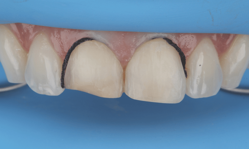
- Tissue Management: Legen eines Ultrapak™ Retraktionsfaden (Größe 000) zur optimalen Gewebeverdrängung und Kontrolle der Sulkusflüssigkeit während der Behandlung.

- Matrizenanpassung: Sorgfältige Anpassung einer PVS-Matrize an die präparierten Zähne. Die Matrize unterstützt die nachfolgenden Behandlungsschritte und gewährleistet eine präzise Schichtung.

- Schmelzätzung: Isolierung der Zähne und Applikation von Ultra-Etch™ Ätzgel mit 35% Phosphorsäure (15 Sekunden) auf den präparierten Schmelz. Schmelzkonditionierung für das Bondingprotokoll durch entsprechende Oberflächenvergrößerung für eine bessere Adhäsion.

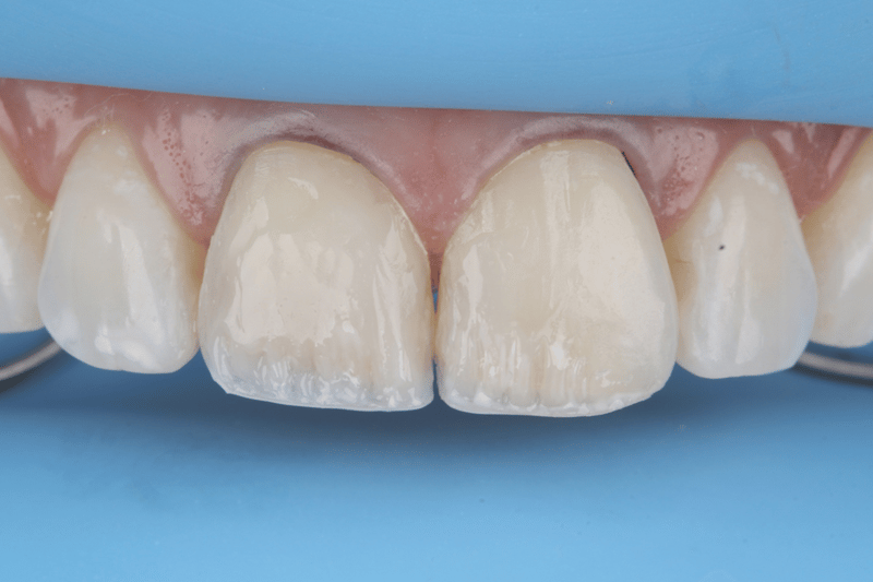
- Bonding: Applikation von Peak™ Universal Bond Adhäsiv nach dem Ätzvorgang. Die erste Verblendschale wurde mit Transcend™ Komposit (Farbe Enamel Neutral) als Basis für das Veneer angefertigt.

- Angleichung der Zahnfarben: Um die Farbunterschiede auszugleichen, wurde eine hellere Dentinfarbe (B1D) für den dunkleren Zahn 11 und eine dunklere Dentinfarbe (A2D) für Zahn 21 verwendet. Dadurch wurde ein gleichmäßiges und natürliches Erscheinungsbild erzielt.

- Applikation der finalen Schicht (Zahn 21): Als finale Schicht wurde Transcend Komposit Enamel White auf die Fazialfläche von Zahn 21 appliziert. Anschließend wurde die Kompositschicht mit der VALO™ LED-Polymerisationsleuchte ausgehärtet.

- Applikation der finalen Schicht (Zahn 21): Für die finale Schicht von Zahn 21 wurde dasselbe Komposit (Enamel White) verwendet. Vor der Aushärtung wurden die Approximalkontakte wieder korrekt hergestellt.

- Entfernung des Retraktionsfadens und erste Politur: Der Ultrapak Faden wurde entfernt und die Zähne mit Jiffy™ Natural Medium Spiral Polierscheiben poliert. Diese erste Politur sorgt für eine glatte Oberfläche der Veneers.

- Feinpolitur: Die weitere Politur erfolgte mit der Jiffy Natural Fine Spiral Polierscheibe zur Verbesserung der Ebenheit und für den Glanz der Veneers.

- Hochglanz-Finish: Mit einer abschließenden Politur mit dem Jiffy™ HiShine Polierkelch wurde im bukkalen Zervikalbereich ein Hochglanz-Finish erzeugt, das den Zähnen einen natürlichen und ästhetisch ansprechenden Glanz verleiht.

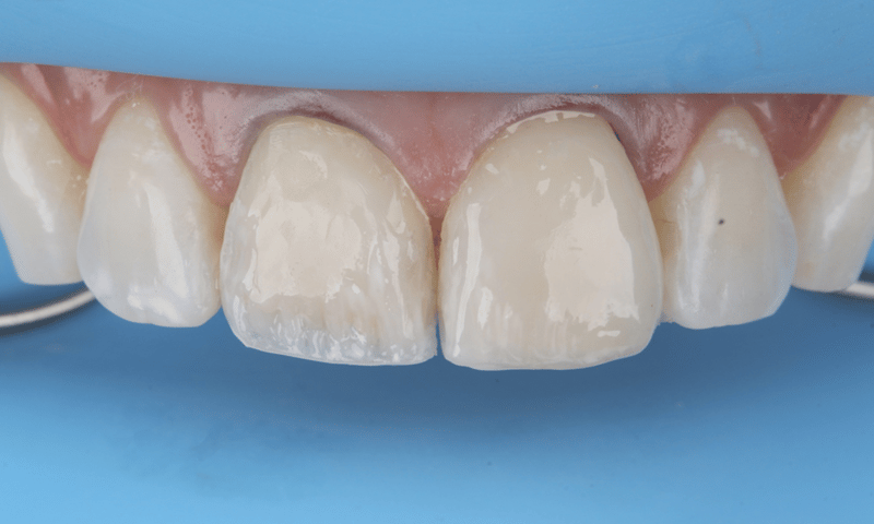
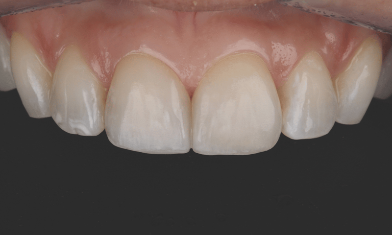
- Finale Restauration: Die finale Restauration zeigt ein ästhetisch verbessertes Lächeln. Die Veneers fügen sich nahtlos in die natürlichen Zähne ein.
Dr. Calixto erzielte mit Hilfe einer vereinfachten Schichttechnik und den optischen Eigenschaften des Transcend Universalkomposits ein gleichmäßiges und natürlich wirkendes Resultat. Von der Ausgangssituation über das Tissue Management bis hin zur finalen Politur erzeugte diese Methode Veneers, die hinsichtlich Farbe und Glanz den natürlichen Zähnen entsprechen.
Über Dr. Rafael Calixto

Professor Rafael Calixto erwarb seinen Master of Science (MSc) und seinen Doktortitel (PhD) in restaurativer Zahnheilkunde an der UNESP in São Paulo, Brasilien. Er ist Autor des Buches „Direct Composite Veneers“ und betreibt eine Privatpraxis in São Paulo, Brasilien. Dr. Calixto ist ein internationaler Referent, Dozent für den Spezialisierungsstudiengang Zahnheilkunde an der FAEPO in São Paulo und Koordinator des Spezialisierungsstudiengangs Zahnheilkunde bei der Brazil Association of Dentistry in Alagoas, Brasilien. Darüber hinaus unterrichtet Dr. Calixto den Master of Rehabilitation-Kurs an der ADA in Madrid/Spanien und koordiniert den Spezialisierungsstudiengang Zahnheilkunde an der ECO-Academy in São Paulo.
