Ästhetische Behandlung der Klasse II von Dr. Mia Vukelić (Case Report)


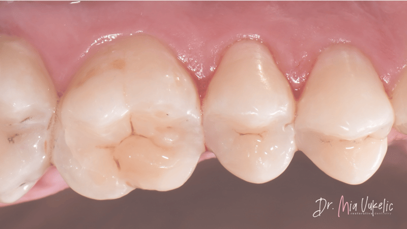
Der Patient besuchte wurde zur jährlichen Kontrolle vorstellig. Klinische Untersuchungen und Röntgenbilder zeigten Sekundärkaries auf der Okklusalfläche von Zahn 26 sowie kariöse Läsionen an den Distalflächen von 24 und 25. Der Patient hatte keine spezifischen Beschwerden. Die empfohlene Behandlung umfasste eine Klasse I-Restauration an Zahn 26 und Klasse II-Restaurationen an 24 und 25.
![]() |
![]() |
Die Zähne wurden mit Hilfe von Kofferdam und Keilen sorgfältig isoliert. Für die Kavitätenpräparation kam zu Beginn ein zylindrischer Bohrer zum Einsatz. Nach der Entfernung der Restauration wurde das demineralisierte Dentin mit einem Stahlbohrer entfernt. Zum Abschluss der Kavitätenpräparation wurden konvergente Wände in divergente Wände umgearbeitet und die Kavitätenoberfläche mit Diamantpolierern poliert.

![]() |
![]() |
Zur Vorbereitung des Schmelzes für die Adhäsion wurde eine selektiven Ätztechnik gewählt und ein Ätzgel mit 35 % Phosphorsäure (Ultra-Etch™ Ätzgel, Ultradent Products) 15 Sekunden aufgetragen.

Nach dem Abspülen mit Wasser (30 Sekunden) wurde das Zwei-Komponenten-Adhäsivsystem (Clearfil™ SE Bond, Kuraray*) verwendet. Zunächst wurde der Primer aufgetragen, anschließend das Bonding. Die Polymerisation wurde mit einer kabellosen VALO™ LED-Polymerisationsleuchte (Ultradent Products) durchgeführt.
![]() |
![]() |
Für die Wiederherstellung der Approximalwand kamen Halo™ Matrizen und Ringe (Ultradent Products) zum Einsatz.
Dabei wurde eine modifizierte zentripetale Aufbautechnik eingesetzt. Im ersten Schritt wurde eine Schicht fließfähiges Komposit (Tetric EvoFlow™, Ivoclar*) mit einer Stärke von 0,5 mm aufgetragen.
Das Mittel der Wahl für die Restauration war Transcend™ Universalkomposit (Ultradent Products). Die Approximalwand wurde mit der Farbe EW erstellt. Für die beiden folgenden horizontalen Schichten wurde die Farbe A3D verwendet. Sekundärcharakteristika wurden mit dem Kolor + Plus™ Farbmodifikator – braun (Kerr*) erzielt.
![]() |
![]() |
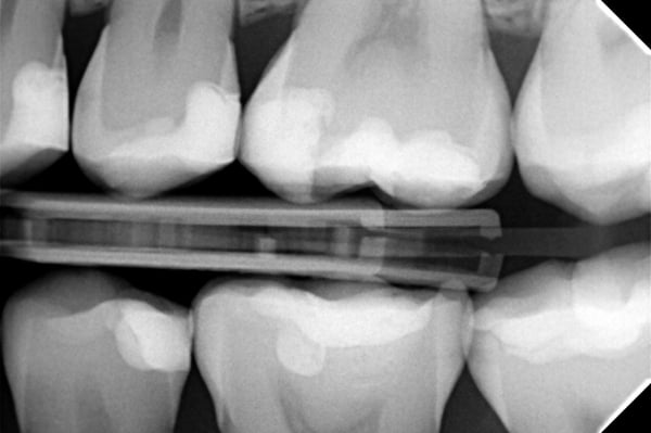
Nach dem Polieren wurde die Füllung mit einem Oberflächenversiegler (PermaSeal™ Kompositsversiegler, Ultradent Products) beschichtet. Danach erfolgte die abschließende Kontrolle mittels Okklusalprüfung und Röntgenaufnahme.
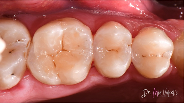
Auf den finalen Fotos wird deutlich, dass Transcend Universalkomposit der Restauration ein außergewöhnlich ästhetisches Erscheinungsbild verleiht. Das Halo Teilmatrizensystem ermöglichte zudem die Herstellung einer hervorragenden approximalen Anatomie, wie die Röntgenaufnahme belegt.
![]() |
![]() |

*Trademark eines anderen Herstellers als Ultradent Products.










