Eine gewagte Idee mit überwältigenden Ergebnissen
Ein Anwenderbericht von Dr. Petteri Viljakainen
Für die Herstellung von Kompositrestaurationen verwende ich persönlich verschiedene Materialien und Systeme. In Abhängigkeit der individuellen Erfordernisse des klinischen Falls wähle ich jeweils die Produkte und Techniken aus, die sich am besten dafür eignen. Neben herkömmlichen Kompositssystemen mit mehreren Farben in Kombination mit der Schichttechnik, setze ich seit einiger Zeit ein vereinfachtes Behandlungsprotokoll und Komposites mit nur einer Farbe ein – mit sehr guten Ergebnissen!
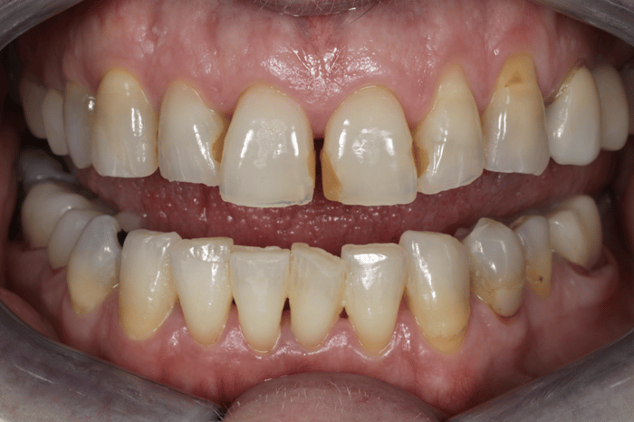
Im folgenden Fall einer 66-jährige Patientin war ich gespannt, welche Resultate ich wohl mit einem dieser neuartigen One Shade Composites im Frontzahnbereich erzielen könnte. Das Behandlungsziel war der Ersatz von fünf alten, verfärbten Restaurationen.

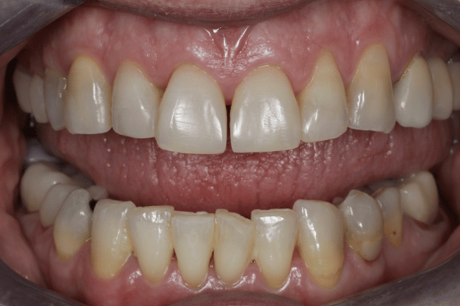
Vorher
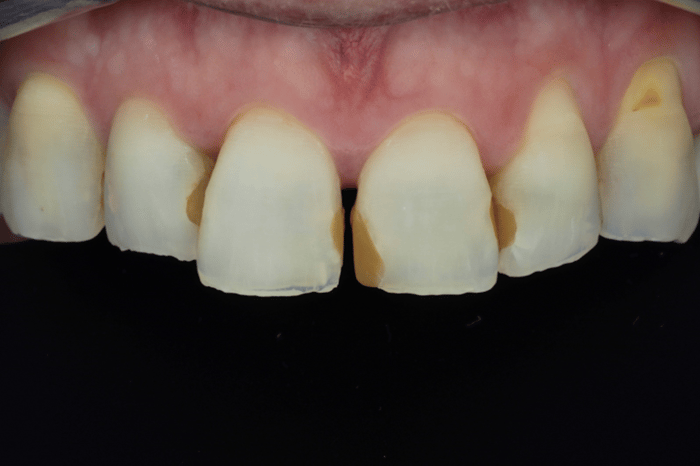
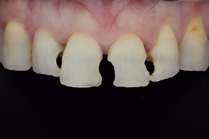
Zunächst wurde eine Prophylaxe durchgeführt. Anschließend ersetzte ich die fünf Klasse-IV- und Klasse-V-Restaurationen an den Zähnen 12 bis 23. Dafür wählte ich Transcend™ Universalkomposit (Ultradent Products), bei welchem ich tatsächlich nur eine einzige Farbe verwenden musste, nämlich die Farbe Universal Body. Zudem war kein Blocker oder Opaker erforderlich.
Bei Behandlungsbeginn war mir bewusst, dass der Einsatz einer einzigen Farbe für ästhetische Frontzahnrestaurationen risikobehaftet ist, denn schließlich soll sich das Komposit nahtlos an sämtliche umliegenden Zahnfarben anpassen. Sollte das Vorgehen nicht erfolgsgekrönt sein, müsste ich die gesamte Behandlung wiederholen. Trotz meiner Zweifel entschied ich mich, meine Idee umzusetzen und war vom Ergebnis nicht nur überrascht, sondern gleichermaßen überwältigt.



Austausch alter Restaurationen
(Fotos unter Polarisationsfilter)
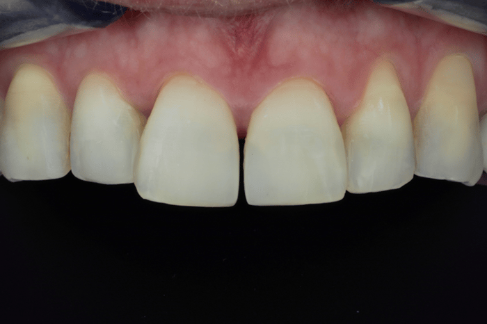
Transcend Universal Body passt sich perfekt an die natürliche Zahnfarbe an
Die Transcend-Farbe Universal Body passte sich perfekt an die umgebende Zahnfarbe an, und meine Patientin war mit ihrem neuen ästhetischen Erscheinungsbild außerordentlich zufrieden. Das Ergebnis war gesamthaft sehr ansprechend und der Unterschied zwischen der Restauration und dem natürlichen Zahn war effektiv kaum wahrnehmbar. Außerdem bietet Transcend Komposit dank der speziellen Resin Particle Match™ Technologie eine hervorragende Balance zwischen Opazität und Transluzenz.


Endergebnisse
Zusätzlich zu den ästhetischen Ergebnissen ist Transcend Komposit extrem einfach im Handling und in der Verarbeitung. Normalerweise erwärme ich die Kompositmaterialien, bevor ich sie für Frontzahnrestaurationen verwende. Einige werden dadurch etwas flüssiger, andere wiederum bleiben fester. Durch die Erwärmung wurde die Handhabung von Transcend Komposit sogar noch angenehmer. Das vereinfachte Behandlungsprotokoll ohne zeitaufwändige Schichttechnik trägt positiv zu schlanken und effizienten Praxisabläufen bei. Darüber hinaus weist Transcend Komposit eine hohe Farb- und Schrumpfstabilität auf und erfordert lediglich einen minimalen Polieraufwand.
Aus wirtschaftlicher Sicht ist Transcend Komposit ebenso interessant, da keine umfangreiche Palette verschiedener Kompositfarben in der Praxis vorrätig gehalten werden muss. Ich kann meinen Materialbestand erheblich reduzieren und folglich die Organisation und den Bestellprozess für mich und mein Team erleichtern.
Auch Kompositmaterialien haben ihren Preis. Daher ist es ärgerlich, wenn nahezu unbenutzte Kapseln oder Spritzen entsorgt werden müssen, da das Haltbarkeitsdatum überschritten ist. Mit dem Transcend Kompositsystem kann ich Materialverschwendung vermeiden und meinen monetären Einsatz reduzieren.
Transcend Komposit ist seiner Zeit in vielerlei Hinsicht voraus. Es fügt sich tadellos in den Frontzahnbereich ein und ist auch für Seitenzahnrestaurationen hervorragend geeignet. Ich habe sogar schon Diastemata bis zu 2 mm mit der Transcend-Farbe Universal Body geschlossen, was ebenso perfekt funktioniert hat. Meiner Meinung nach ist es ein innovatives, zukunftsträchtiges Produkt, das ich in meiner Praxis weiterhin verwenden werde. Ich kann meinen Kollegen wärmstens empfehlen, Transcend Komposit selbst zu testen und sich von den Ergebnissen zu überzeugen.
Über den Anwender:

Dr. Petteri Viljakainen
- Abschluss an der Universität Helsinki, Finnland, 2009
- Zahnarzt und Partner in den eSmile Praxen in Espoo und Helsinki, Finnland; Schwerpunkt kosmetische Zahnheilkunde
- Schwerpunkt & besondere Interessen:
Ästhetische und kosmetische Zahnheilkunde, regelmäßige Teilnahme an weltweiten Vorträgen und Seminaren - Mitgliedschaften:
- Akkreditiertes Mitglied der American Academy of Cosmetic Dentistry (AACD)
- Akkreditiertes Mitglied der British Academy of Cosmetic Dentistry (BACD)
- Akkreditiertes Mitglied der IAS Academy - Sonstige Aktivitäten:
- Key Opinion Leader für führende Dentalhersteller
- Internationaler Referent und Schulungsleiter für Dentalmaterialien und -techniken sowie Dentalfotografie
