Case Report von Dr. Rafael Beolchi
Selbst nach vielen Berufsjahren gibt es immer wieder besondere Augenblicke, die verdeutlichen, wie stark moderne Technologien den Praxisalltag verändern und einen echten „Wow-Effekt“ auslösen können, sowohl bei Behandlern als auch bei Patienten. Ein solcher Moment war die Behandlung einer 18-jährigen Patientin, die gerade ihre kieferorthopädische Behandlung erfolgreich beendet hatte. Mit dem behandelnden Kieferorthopäden arbeite ich schon seit Jahren zusammen. In diesem Fall wandte er sich gezielt an mich, um für seine Patientin ein optimales ästhetisches Ergebnis zu erzielen.

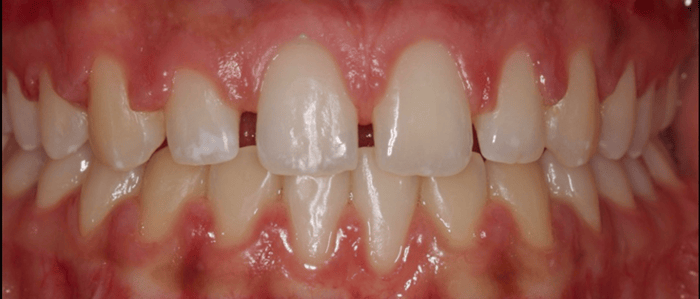
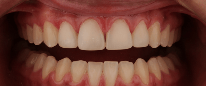
Abbildung 1: Ausgangssituation und kieferorthopädischen Behandlung
Nach dem Abschluss der kieferorthopädischen Behandlung lag eine ausgeglichene Okklusion und Zahnstellung vor. Allerdings beeinträchtigten erhebliche Zwischenräume im Bereich der Frontzähne und ein unregelmäßiger Gingivaverlauf das Gesamtbild. Nach der Untersuchung und Bewertung des Falls entschied ich mich für eine Gingivakorrektur. Die Patientin wies einen gesunden, kräftigen Gingiva-Phänotyp auf. Auffällig war jedoch die deutliche Verdickung der Papillen an einigen Stellen.

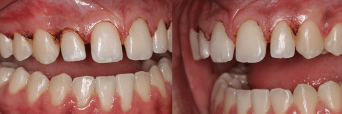
Abbildung 2: Ausgangssituation
Darüber hinaus musste der Gingivaverlauf lateral am linken oberen Frontzahn angepasst werden, um eine bessere Symmetrie herzustellen. Die Planung mittels 3D-Scan und Modelldruck sowie klassischen Wax-ups und Mock-ups lieferte exakte Details. Außerdem wurde die Wichtigkeit der Gingivamodifikation zugunsten einer harmonischen Ästhetik visualisiert.

Abbildung 3: Ansicht des Zahnfleischs

Abbildung 4: Mock-up
Anstatt einer traditionellen chirurgischen Vorgehensweise mit dem Skalpell entschied ich mich für den Einsatz der modernen Lasertechnologie. Ich bin ein Fan minimal-invasiver Therapien. Daher führte ich die Gingivoplastik und Gingivektomie mit einem einfach anwendbaren Diodenlaser für Weichgewebe aus. Mit dem Gemini EVO™ 810 + 980 konnte ich die Gingiva schnell und präzise formen. Besonders beeindruckend sind dabei die einfache Bedienung und die Schnelligkeit, mit der ich diese Behandlungsschritte erledigen kann.
Der Gemini Laser ist sehr sanft und sicher für das Weichgewebe. Dank seiner kontrollierten, supergepulsten Spitzenleistung wird die thermische Entspannung verbessert und unerwünschte Kollateralschäden durch Überhitzung werden verhindert. Der Laser stellt die entsprechenden Parameter automatisch ein, was ihn noch sicherer und anwenderfreundlicher macht.
Ein weiterer Vorteil der Weichgewebschirurgie mit dem Diodenlaser sind die sofortige Hämostase und die Kauterisation des Gewebes. Dadurch werden postoperative Schmerzen deutlich reduziert. Die Temperatur des chirurgischen Tips sorgt für die Sterilisation des Behandlungsfelds und die metabolischen Vorteile von Diodenlasern hinsichtlich der ATP-Produktion im Behandlungsbereich sind hinlänglich bekannt. Sie fördern den Heilungsprozess und verkürzen die Heilungsdauer. Die Pluspunkte sind wirklich vielfältig, besonders im Vergleich zu konventionellen chirurgischen oder elektrochirurgischen Behandlungsprotokollen. Gesamthaft betrachtet bietet der Diodenlaser einen deutlich effizienteren Workflow.

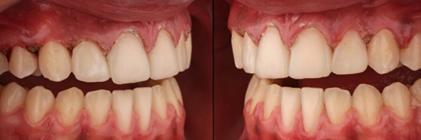
Abbildung 5: Unmittelbar nach der Gingivektomie mit dem Gemini Evo 810 + 980 Diodenlaser / vor der Kompositrestauration
Nach dem Einsatz von Diodenlasern kann der Kompositaufbau außerdem meist unmittelbar nach dem chirurgischen Eingriff erfolgen. So konnte ich auch in diesem Fall sofort und ohne Zeitverlust mit der Restauration beginnen. Nach dem Ätzen der Zahnoberflächen mit 35% Phosphorsäure applizierte ich Peak™ Universal Bond. Für die Restaurationen verwendete ich Transcend™ Universalkomposit. Es ist sowohl für den Front- als auch für den Seitenzahnbereich geeignet. Ich verwendete nur eine Farbe (Universal Body), was die Behandlung im Vergleich zu komplexen Schichttechniken deutlich vereinfachte. Das Komposit bietet eine optimale Balance zwischen Opazität und Transluzenz, daher war kein zusätzlicher Opaker oder Blocker erforderlich.
Nach der Lichtpolymerisation mit der VALO™ X Polymerisationsleuchte polierte ich die Restaurationen mit Jiffy™ Polierern. Die Abbildungen 6a und 6b zeigen das unmittelbare postoperative Ergebnis.


Abbildung 6a und 6b: Aufnahmen direkt nach der Behandlung
Nach 18 Tagen kam die Patientin zur finalen Politur und Kontrolle des Heilungsverlaufs wieder in meine Praxis. Sie litt nach dem Eingriff praktisch weder unter Entzündungen noch unter Beschwerden. Im Unterschied zu Skalpell oder Elektrochirurgie liegt dies, wie bereits erwähnt, an der biostimulierenden Wirkung des Diodenlasers, welche den Heilungsprozess deutlich beschleunigt. Dank der Gewebeaktivierung per Infrarotstimulation auf zellulärer Ebene benötigt die Heilung weniger Zeit. Studien belegen, dass infrarotes Laserlicht die Cytochrom-c-Oxidase (CCO) stimuliert, ein Enzym in der inneren Mitochondrienmembran, welches die ATP-Synthese unterstützt.
Es ist einfach erkennbar, wie dies die Entzündungskontrolle begünstigt und damit die Wundheilung fördert. Die Kombination von Diodenlaser-Chirurgie und direkt hergestellten Kompositrestaurationen zählt zu den bedeutendsten Vorzügen der modernen Zahnmedizin. Sie ermöglicht ein schnelles, effizientes Behandlungsprotokoll, das auch für die Patienten wesentlich angenehmer ist.

Abbildung 7: Nahaufnahme der Gingiva nach 2,5 Wochen
Besonders beeindruckend war die nahtlose Integration der minimal-invasiven Restaurationen. Dank der herausragenden optischen Eigenschaften und der natürlichen Transluzenz von Transcend Komposit verschmolzen die Füllungen optisch perfekt mit den umliegenden Zähnen, ganz ohne sichtbare Übergänge oder Farbunterschiede. Als sich meine Patienten nach der Behandlung im Spiegel betrachtete, war ihre Begeisterung deutlich spürbar. Ihr Lächeln wirkte nicht nur schöner, sondern auch natürlicher und gleichmäßiger, fast als ob es nie anders gewesen wäre.

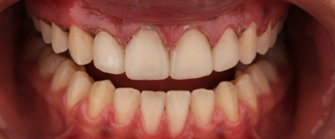
Abbildung 8: Nach der Restauration mit dem Universalkomposit Transcend, Farbe „Universal Body“, vor der Zahnaufhellung
Dennoch entschieden wir uns dazu, das Ergebnis durch eine Zahnaufhellung mit Carbamidperoxid 10% (Opalescence™ PF 10%) noch weiter zu optimieren. Nach einer ausführlichen Einweisung führte die Patientin die Behandlung zu Hause durch. Die individuell angefertigten Schienen trug sie 14 Nächte lang. Im Anschluss hatte sich Zahnfarbe signifikant von A2,5/A3 zu einer ästhetischen, strahlenden A1 aufgehellt. Die Transcend Kompositrestaurationen hatten sich ebenso vollständig angepasst und verschmolzen mit der weißeren natürlichen Zahnfarbe ohne sichtbare Übergänge oder Farbunterschiede.

Abbildung 9: vor und nach der Zahnaufhellung
Vor der Behandlung hatten Zwischenräume und Unregelmäßigkeiten der Gingiva das Gesamtbild beeinträchtigt. Danach hatte die Patientin ein ausgeglichenes, strahlendes Lächeln. Für die junge Frau bedeutete das nicht nur eine sichtbare ästhetische Verbesserung, sondern auch einen enormen Gewinn an Selbstvertrauen und Lebensqualität. Für mich als Behandler ist das das schönste Ergebnis.

Abbildung 10: Vor- und nach der Behandlung
Es traten keinerlei Rezessionen oder Komplikationen auf und die Patientin berichtete kaum, bzw. quasi nicht spürbaren, Beschwerden. Letztendlich ist dies der minimal-invasiven Therapie und der Biostimulation des Gewebes zu verdanken.

Abbildung 11: Finales Ergebnis
Die Lernkurve bei Diodenlasern ist sehr viel unkomplizierter und die Technologie lässt sich problemlos in den Praxisalltag integrieren. Die Anwendung eines Diodenlasers ist nicht nur sicher, effizient und leicht erlernbar. Vielmehr macht sie das gesamte Behandlungsprotokoll reibungsloser schmerzärmer und angenehmer für alle Beteiligten. Gemeinsam mit meinem kieferorthopädischen Kollegen erzielten wir ein Ergebnis, das ohne Lasertechnologie nicht so schnell und einfach möglich gewesen wäre. Vermutlich wäre dann sogar das Mitwirken eines weiteren Spezialisten aus dem Bereich der Parodontologie erforderlich gewesen. Genau diesen Mehrwert bietet der Diodenlaser jeder Praxis.
Der vorliegende Fall hat erneut gezeugt, wie effektiv und leistungsstark der Einsatz der Lasertechnologie in der Zahnmedizin sein kann, ganz besonders in Kombination mit gut geplanten ästhetischen restaurativen Behandlungsprotokollen. Mein Fazit: Diodenlaser bieten deutlich mehr Vorteile, als viele Anwender vielleicht vermuten. In Verbindung mit modernen, optimal anpassungsfähigen Restaurationsmaterialien sind sie ideal geeignet, um mit wenigen einfachen Schritten die perfekte Balance zwischen Funktion und Ästhetik zu erreichen und den Patienten zu einem stolzen, makellosen Lächeln zu verhelfen.
